Cabinet d’orthodontie du Dr Marie-Line BROUSTAUT
Docteur en Chirurgie Dentaire Spécialiste qualifiée en Orthopédie Dento-Faciale
Accueil
Le cabinet
Plan d'accès
Horaires d'ouverture
Urgences
Vidéos
Fiches conseils
Cas cliniques
Equipement
Tutoriel photo
Nos appareils
Prise de RDV
9 rue Saint Denis, 28100 DREUX
+33 2 37 46 30 80
dr.broustaut@gmail.com
Cabinet d’orthodontie du Dr Marie-Line BROUSTAUT
Docteur en Chirurgie Dentaire Spécialiste qualifiée en Orthopédie Dento-Faciale
Accueil
Le cabinet
Plan d'accès
Horaires d'ouverture
Urgences
Vidéos
Fiches conseils
Cas cliniques
Equipement
Tutoriel photo
Nos appareils
Prise de RDV
Vidéos 3D - Page 2
Expansion palatine - activation du disjoncteur
En savoir plus
Extraction en orthodontie et réhabilitation par implant
En savoir plus
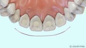
Fil de contention
En savoir plus
Orthodontie : idées reçues, idées revues
En savoir plus
L'orthodontie : une affaire de spécialistes
En savoir plus
Conseils pratiques pour une bonne hygiène bucco-dentaire avec un appareil
En savoir plus
Affichage des articles 7-12 sur 16
‹
1
2
3
›
Rechercher dans le blog Blog
Catégories
À la une
(6)
Coûts et prise en charge
(1)
Informations générales dentaires
(18)
L'orthodontie Adulte
(3)
La réussite du traitement
(5)
Les enfants & les adolescents
(17)
Orthodontie
(64)
Qu'est-ce que l'orthodontie ?
(16)
Questions fréquentes en orthodontie
(6)
Cabinet d’orthodontie du Dr Marie-Line BROUSTAUT
9 rue Saint Denis
28100
DREUX
+33 2 37 46 30 80
En savoir plus
Politique de confidentialité et charte cookie
Mentions légales
Conditions Générales Utilisation
Charte déontologique
Ordre national
Annuaires chirurgiens dentistes
Contact
9 rue Saint Denis
28100
DREUX
+33 2 37 46 30 80
Coordonnées
Création par
Connexion
Vidéo en cours de lecture